Comenzamos el día con una noticia que nos ha preocupado: la Casa Real noruega ha anunciado que la salud de la princesa heredera Mette-Marit ha empeorado de forma significativa debido a la fibrosis pulmonar que padece desde 2018. De hecho, tras varias pruebas recientes que muestran una evolución negativa, los médicos del Rikshospitalet han empezado a preparar la opción de un trasplante de pulmón, aunque aún no se ha fijado una fecha ni se sabe cuándo entrará en lista de espera. La institución real explica que, pese a necesitar más descanso, la princesa tiene un fuerte deseo de continuar con sus labores oficiales, por lo que su agenda se adaptará para compaginar su trabajo con su estado de salud.
¿Qué es la fibrosis pulmonar?
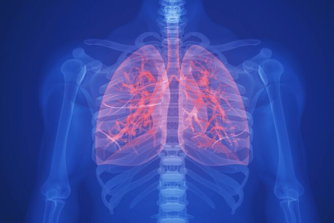
La fibrosis pulmonar es una enfermedad crónica que cursa con inflamación, endurecimiento y cicatriazación (fibrosis) del tejido pulmonar, lo que deteriora lenta pero progresivamente la función respiratoria. Existen diversos tipos de fibrosis pulmonar y el diagnóstico, tratamiento y evolución varía según cuál sea. «Podríamos hacer un símil con el cáncer. Sabemos que no hay un tipo de cáncer, sino muchos, y que no es lo mismo tener un cáncer de mama que uno de páncreas.
La esperanza de vida de algunos tipos de fibrosis pulmonar -como la idiopática- oscila entre los dos y los cinco años, mientras que en otras la enfermedad se vuelve crónica. «El pronóstico, por tanto, depende del diagnóstico, cuanto más temprano, mejor, para administrar el tratamiento adecuado. Así como de cuál es el tipo de enfermedad pulmonar. Lo que no se revierte es el tejido dañado del pulmón», recuerda el especialista.
¿Por qué aparece la fibrosis pulmonar?
Debido a que existen muchos tipos, también podemos distinguir diversos factores de riesgo que aumentan la probabilidad de padecerla. Entre ellos se encuentran:
Fumar: el tabaco constituye uno de los factores de riesgo para la aparición de este problema pulmonar.
Toma de medicamentos: algunos fármacos pueden favorecer su aparición. «Existe una gran lista de ellos. Entre los más frecuentes están los fármacos para el reuma y para el cáncer», señala el especialista.
Problemas digestivos: algunas enfermedades como el reflujo gastroesofágico podrían incrementar la probabilidad de padecer este problema de salud, pero eso no quiere decir que el reflujo sea la causa, sino que se trata de una comorbilidad (dos o más enfermedades que se producen en una misma persona).
Factores externos: la contaminación ambiental, como la exposición a polvos de metales o serrín, se ha asociado a la fibrosis pulmonar.
Agentes infecciosos: se ha observado que muchos pacientes que padecen esta afección en los pulmones han estado expuestos a virus como el de Epstein Barr, otro tipo de herpes como la infección aguda por citomegalovirus (CMV), Virus de la Inmunosuficiencia Humana (VIH) y Hepatitis C.
Fibrosis pulmonar idiopática
Se trata de una enfermedad rara, poco conocida y progresiva, que afecta a más de 7.500 españoles cada año. Los síntomas principales son tos, cansancio y dificultades para respirar, que coinciden con las de otras patologías respiratorias más comunes, como el asma o la EPOC. De ahí, la dificultad de su diagnóstico.
Atenta a estas señales de alarma
Debido a la sintomatología difusa, muchos pacientes no son diagnosticados y tratados hasta pasado un tiempo, al menos, dos años. Por ello, los expertos insisten en que se debe estar atento a esa tos seca y persistente que no cede en tres o cuatro semanas y que no responde a un catarro convencional. La fatiga o falta de aire después de subir escaleras o caminar un poco deprisa, el dolor torácico o una coloración azulada en la piel y en las uñas son también señales de alerta.
Nuevos tratamientos que dan esperanza
En cuanto al tratamiento, la disponibilidad de nuevos medicamentos «ha marcado un antes y un después en el manejo de la patología», según señaló la doctora María Molina, coordinadora de la Unidad Funcional de Intersticio Pulmonar del Hospital Universitario Bellvitge de Barcelona.
Los fármacos que se administran se denominan antifibróticos, y permiten ralentizar de forma significativa la enfermedad, lo que repercute en una reducción de las comorbilidades -o enfermedades- asociadas, en un menor número de ingresos hospitalarios y en un aumento no sólo de la calidad de vida, sino también de la supervivencia en términos absolutos.
¿Cuándo se plantea un trasplante de pulmón?
En la fibrosis pulmonar (especialmente en la fibrosis pulmonar idiopática), el trasplante de pulmón se valora cuando la enfermedad es progresiva y avanzada y los tratamientos disponibles ya no consiguen frenar el deterioro. Suele plantearse cuando hay una caída significativa y sostenida de la función pulmonar, por ejemplo, descenso marcado del FVC o del FEV1, que es la cantidad de aire que se expulsa en el primer segundo de una espiración forzada y sirve para valorar el grado de obstrucción de las vías respiratorias y la función pulmonar, aparece falta de oxígeno en reposo o con mínimos esfuerzos, se desarrolla hipertensión pulmonar o el paciente presenta un empeoramiento clínico rápido con limitación clara para la vida diaria. (Hola.com).












Agencia Digital - Desarrollo web